歯が抜ける夢を見る程、歯ぐきが痛くてグラグラ。重度の根と歯周病の治療
2025/05/04
今回は、重度の根の病気と歯周病で、今にも抜けそうな歯を治療してなんとか残す事ができた症例について説明します。
目次
歯が抜ける夢を見るくらいグラグラ
患者様は、右下の歯が一年前くらいから歯ぐきの腫れや痛みを繰り返しており、最近は歯磨きの時に毎回出血し、グラグラしてきました。気になりすぎて歯が抜ける夢をよく見るようになり、治療しようと自宅近くの歯医者に行ったところ、「歯を支える骨が全く無いから治療はできない。抜くしかない。」と言われたそうです。抜くのがどうしても嫌ということで、当院を受診されました。
右下の真ん中の奥歯ですが、内側の歯ぐきが大きく腫れていました。歯をさわると今にも抜けそうなため、まず応急処置として隣の歯との間にセメントをつけて固定しました。その後麻酔をして歯ぐきの中の掃除を行い、腫れを引かせました。
歯周病の検査では、歯と歯ぐきの溝に器具を入れて、その深さで重症度を測ります。正常値が3ミリであるのに対して、この歯は歯の周りすべてが9ミリ以上あり、おそらく根の先まで歯を支える骨が溶けていることが予想されました。
CTを撮影したところ、ほぼ全ての歯を支える骨が溶けて浮いていました。根の先まではっきりと映っており、通常であればこの歯は抜歯(抜くこと)が妥当な状態でした。
患者様に説明した所、やはり抜くのは嫌でダメもとでもよいから治療をしてほしいと希望されました。
歯が割れていれば治療の効果はないため抜いた方がよいです。しかし、歯が割れていることはこの時点では見つかりませんでした。
治療しても治らない可能性があること、また治ったとしても長持ちするかどうかはわからないことを患者様にご了承いただき、わずかな希望ではありますが治療を行うことにしました。
歯の神経が歯周病で死んでいた
精密検査を続けたところ、歯の神経が死んでいることがわかりました。
歯に電気を当てて神経が生きているか検査しました。神経が生きていれば痛みや違和感があるのですが、この歯は全く反応がありませんでした。冷たい刺激や温かい刺激を与えても反応は全くなく、この歯は神経が死んでいると診断しました。
神経が死んでいる理由としては、大きな虫歯や歯にひび割れが起きていることがありますが、この歯には虫歯もひび割れもありませんでした。
根の先まで歯周病が進行した場合、根の先から歯周病の細菌が歯の中に侵入し、神経に感染します。その結果神経が炎症を起こして死んでしまったのだと思われました。
重度の歯周病に加えて、神経が死んで根の病気もあります。治療は困難を極めました。
実際の治療
根の病気と歯周病が同時に起きている場合、基本的には根の治療を先に行います。(根の治療というのは死んだ神経を取り除く治療の事です。)
その後、歯周病の治療を行います。歯周病の治療については、段階を分けて行います。
始めは歯ぐきを切らずに(手術をせずに)歯の周りについている歯周病の菌である歯石(しせき)を取ります。そこで数か月様子をみて、歯を支える骨が治っている傾向があるか判断します。
その傾向が無い場合は、歯ぐきを切って手術を行います。歯と支えている骨を丸見えにして、歯に周りについた病気と歯石を取り除くのです。この歯に関しては根の先まで骨が溶けているため、手術を行うことは必須だろうと予測しました。
まず、根の治療を行い、歯の神経を取り除きます。根の先が大きく曲がっていましたが、形状記憶の器材で問題なく神経を取り除きました。
薬は長期にわたり殺菌作用が続き、骨の再生能力が最も高いMTAセメントを用いてつめました。根の先まで入っていることがわかります。(MTAセメントの場合、根の外に薬が出ても問題ないと言われています。)根の治療が完了しました。
続けて、歯周病の治療を行います。手術を見込んでいるのですが、症状をある程度引かせて手術をしやすく成功させるために、歯ぐきを切らない状態で歯の周りについている菌(歯石)を取りました。高倍率ルーペと顕微鏡を使って見れば、歯ぐきの中の歯石はある程度見ることができます。根の上の方はほとんど綺麗に取れましたが、やはり根の先の方は見えないため、手探りとなり十分に取れたかは不明になります。
2ヶ月ほど経過観察し、歯ぐきの腫れはある程度治まりましたが、骨の再生は起こる傾向が見られなかったため、予想通り歯周病の手術を行うことにしました。
写真は手術の様子です。歯ぐきを切ってめくってみると、CT通り根の先が見えました。骨が無く完全に浮いている状態でした。
根の先に歯石が付いていたので取り除きました。そして、骨を再生させる薬を入れて、歯ぐきを縫って閉じました。
状態は安定していたため、骨が再生するか経過観察を行いました。
骨が再生し残す事が出来た
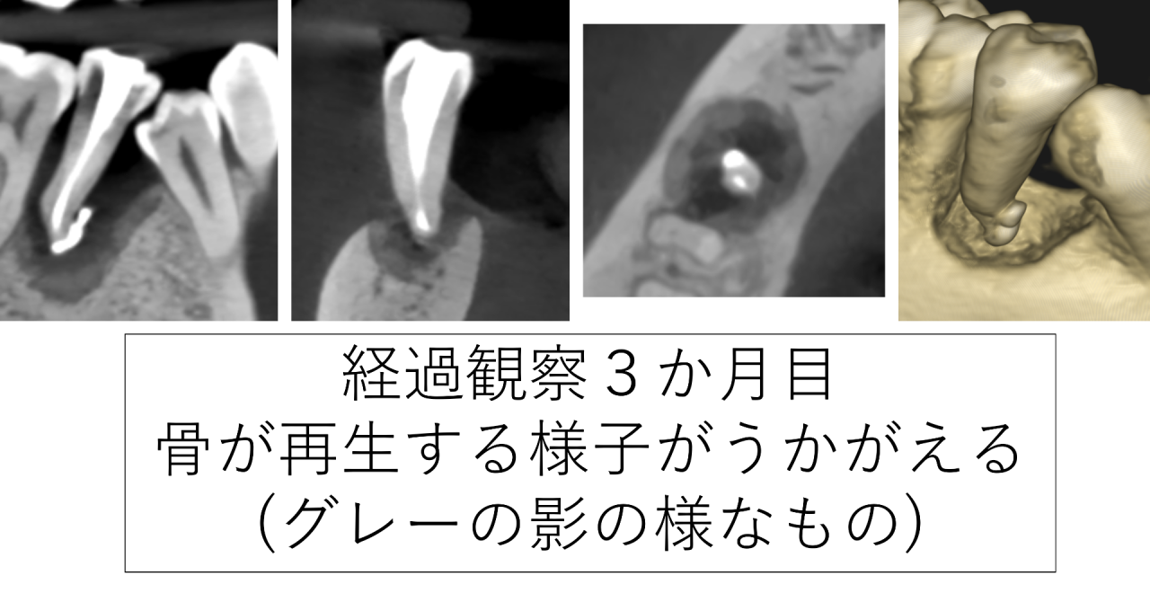
経過観察し、3か月後CTを撮影しました。すると、骨が再生してきている様子がうかがえました。歯科衛生士による歯磨き指導も行っており、歯ぐきに歯石が再度付くことを予防します。
8か月後のCTです。ここまでくるとはっきりと骨が再生してきていることが分かります。患者様には油断せず引き続き毎日の歯磨きを頑張ってもらうようお伝えしました。
1年6ヶ月後のCTです。骨が再生しました。歯の根が骨に埋まっていることが分かります。骨の再生量としてはこのあたりが限界ですので、隣の歯とのセメント固定は続けて助け合って長持ちさせることにしました。
歯ぐきの検査も3ミリと正常の値になりました。患者様はグラグラ揺れず痛みも腫れも無くなり、とても喜ばれました。本当に良かったです。
治療にはまず、精密な検査から
今回は非常に難しい状態でしたが、なんとか抜かずに残す事ができました。実際は治療を行わずすぐに抜くことが現実的なところですが、CTでほぼ全ての歯を支える骨が溶けているにも関わらず、最初の検査の時、根の治療の時、歯ぐきの手術の時、それぞれに歯が割れていないかどうか精査しましたが、どの時も割れていなかったため、治療を全て行う事が出来ました。
途中で歯が割れていると分かれば、治療しても長持ちすることはほとんどないため、その時点で治療を中断し歯を抜くこともあります。
検査をおろそかにして割れていることを見落とし、治療ばかり進めていると、患者様には無駄な治療の時間や治療費がかかってしまいます。
そのようなことが無いように、当院は精密な検査を行い、必要最低限の治療で最大限の効果が出るようにしております。
今回のような歯でお悩みの方はぜひ、みつおデンタルクリニックへお越しください。
長文でしたがご拝読いただき、ありがとうございました。
みつおデンタルクリニック 院長
精密な検査と治療で歯を守る会 代表 高津光雄
健康な歯をできる限り削らない「ハーミノス虫歯治療法®【特許庁・商標登録】」を考案
オンライン相談等、SNSで医院の情報を配信中
【今回の治療について】
年齢:30代 女性
治療期間:3ヶ月(経過観察をいれると21ヶ月)
治療回数:5回(消毒などを除く)
治療費: 180,000円(税込)(精密根管治療 100,000円 歯周外科治療 80,000円 ※今回の治療は全て自費治療です。
【精密根管治療のメリット】
・歯を抜かずに残せる可能性が高くなる。
・歯が長持ちしやすくなる。
【歯周外科治療のメリット】
・骨が再生し、歯を抜かずに残せる可能性が高くなる。
・歯が長持ちしやすくなる。
【精密根管治療のリスク・デメリット】
・外科処置が必要となる場合がある。
・骨が再生するには時間がかかる。
・治療途中に歯が割れたり、保存が不可能と判断した場合は抜歯になることもある。
【歯周外科治療のリスク・デメリット】
・骨が再生しなければ、抜歯になることもある。
・状況によっては再度の外科処置が必要となる場合がある。
----------------------------------------------------------------------
みつおデンタルクリニック
〒530-0036
住所:大阪府大阪市北区与力町4-15 ダイナスティ与力101
電話番号 :06-6948-6232
拠点の天満で歯周病治療を実施
高技術な根管治療を天満で実施
----------------------------------------------------------------------


