【他院で抜歯か手術と診断】特殊な根管治療法で巨大な根の病気が治癒した症例
2025/10/05
こんにちは!大阪市北区・天満 扇町にある「みつおデンタルクリニック」院長の高津光雄です。
今回は、右下の奥歯の根の先に大きな病気(膿)ができていた歯を、抜歯せずに治療を完了できたケースをご紹介します。
患者さんは他の歯科医院で「抜くか手術をするしかない」と言われたそうです。
しかし、当院ではあきらめずに特殊な根管治療法を行い、治療後には骨の再生も確認され、抜歯と手術の両方を避けることができました。
目次
強い違和感の原因は「根の先の病気」
50代の男性患者さんが「右下の奥歯に違和感があり、噛むと鈍い痛みがある」と来院されました。
レントゲンを撮影すると、根の先に広がるような巨大な黒い影が映っていました。これは、歯の内部で取り残された神経が死んで腐って細菌が繁殖し、根の外にまで炎症が広がったことによる根尖病変(膿の袋)です。
この影は骨が溶けてしまった部分を示しており、自然に治ることはありません。放置すると痛みが強くなったり、膿が歯ぐきから出てできものができたりする恐れもあります。
一般的な治療では届かない領域
こうした大きな病変がある場合、通常の根管治療では限界があるとされています。
特に根の先や外の病巣まできちんと殺菌できないと、治らずに再び病気が悪化するリスクが高まります。
そのため、他院では「抜歯か手術」という判断が下されていたのかもしれません。
抜かずに根の手術をするにしても、根を大きく失いますし、奥歯なので器具が届かず失敗する可能性もあります。
そこで、当院ではマイクロスコープやCT等の精密機器を使用し、特殊な根管治療を行いました。
MTAセメントを使った特殊な治療法
今回の治療では、MTAセメント(バイオセラミックス系の薬)を使い、根の先端よりもさらに外側の病巣部にまでセメントを届ける方法を選びました。
この手法は、根管治療の世界的権威である寺内吉継先生(Dr.Yoshi Terauchi)が提唱している技術を基にしています。
大きな根の病気の場合、根の中だけに細菌はとどまらず、根の外の周辺にも細菌の塊(バイオフィルム)を作っていることがほとんどです。また、根の病気の中にも細菌の塊ができていれば、その多くは根の中だけをきれいに殺菌しても治ることはなく、外科手術をしなければいけないと昔から言われていました。
そこで、根の外に殺菌力と骨の再生能力のあるMTAセメント(バイオセラミックス系の薬)を押し出すことで、根の外の周辺と病気の中に存在する細菌を殺菌します。
MTAセメントは体とのなじみが良く、上手くいけばセメントの周りに骨の細胞や歯の細胞ができます。それで溶けて失った骨が再生するのです。
具体的には、次のような処置を行いました:
・取りのこし、再発した虫歯の除去。根の治療のための土台作り
・ラバーダムを用いて無菌的環境を確保
・マイクロスコープで内部を拡大しながら取り残された神経(感染源)を丁寧に除去
・全周ファイリング法、超音波チップやXP-endo Finisherなどの精密機器で根管内の汚れを隅々まで洗浄
・必要量のMTAセメントを根の外に送り込む
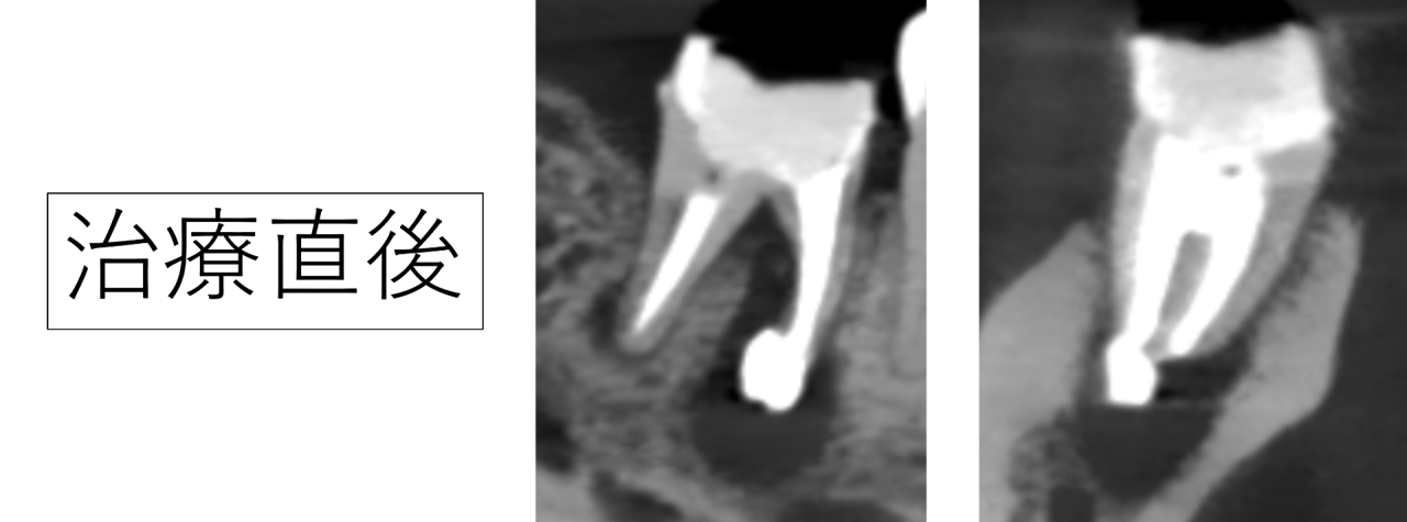
このように、治療のターゲットを根の中だけでなく、根の外=骨が失われた部位にまで広げた点が、今回の治療の大きな特徴です。
治療後の経過と骨の再生
治療から1年後、溶けていた骨の部分に新しい骨の再生がはっきりと確認され、歯の周囲がしっかりと支えられる状態になっていました。MTAセメントによる特殊根管治療が上手くいったようです。
患者さんも「噛むときの違和感がなくなった」と話され、日常生活において不自由なく過ごせているとのことです。本当に良かったです。
抜歯や手術以外の選択肢があることを知ってほしい
すべてのケースで歯を残せるわけではありませんが、「抜くしかない」と言われた場合でも、技術と材料を工夫することで残せる可能性はあります。
特に今回のように、根の外まで薬を入れる治療を行う場合は、術者の経験と知識、器材が大きく影響します。
根管治療のやり方は、国や歯科医師により様々で決まっていません。特に今回の根の外に薬を押し出す方法を行わない歯科医師も多く存在します。
しかし、歯を抜いたり、根の外科手術という患者様の心理的や肉体的な負担が無くなるかもしれない、という意味では、この方法は唯一無二であり患者様のためになると私は考えて行っています。
当院では、できるだけ患者様の歯と体に負担のないような治療計画を考えるようにしています。
まとめ
・右下の奥歯に大きな根の病気(膿の袋)ができていたケース
・通常の治療では届かない病巣部に、MTAセメントを押し出した
・根管治療の世界的権威である寺内吉継先生の方法を応用した治療
・治療後、骨の再生がレントゲンで確認された
・抜歯や外科手術が必要と診断されても、歯と根を保存できる可能性がある
ご自身の歯をできるだけ残したいという方は、ぜひ一度当院にご相談ください。症状や状態に応じて、可能な限りの選択肢をご提案いたします。
以上になります。ご拝読いただきありがとうございました。
みつおデンタルクリニック 院長
精密な検査と治療で歯を守る会 代表 高津光雄
健康な歯をできる限り削らない「ハーミノス虫歯治療法®【特許庁・商標登録】」を考案
世界基準の精密根管治療を行い、根管治療の名医として「名医のチョイス」に掲載
大阪・梅田・天満の患者様に選ばれる精密な根管治療と虫歯治療を提供できるよう日々研鑽
根管治療の名医として、名医のチョイスに掲載されました
【今回の治療について】
年齢:50代 男性
治療期間:3週間(経過観察期間を含まない)
治療回数:3回
治療費: 精密根管治療費 100,000円(税込)
【精密根管治療のメリット】
・歯を抜かずに残せる可能性が高くなる。
・歯が長持ちしやすくなる。
【精密根管治療のリスク・デメリット】
・外科処置が必要となる場合がある。
・骨が再生するには時間がかかる。
・治療途中に歯が割れたり、保存が不可能と判断した場合は抜歯になることもある。
----------------------------------------------------------------------
みつおデンタルクリニック
〒530-0036
住所:大阪府大阪市北区与力町4-15 ダイナスティ与力101
電話番号 :06-6948-6232
高技術な根管治療を天満で実施
----------------------------------------------------------------------


