【特許庁登録で歯が長持ち】当院の虫歯治療について
2025/04/06
虫歯治療は一番初めの治療であり、一番重要です。治療の精度が悪ければ、治療のやり直しを繰り返し、神経や歯を抜くことになってしまいます。
今回は、当院で行っている虫歯治療の方法を、一般的な歯科医院の方法と比べながら説明します。
初めに、比較をまとめた表がありますので、ご覧ください。以下に、それらを詳しく説明していきます。
目次
①虫歯1本の治療の時間
これが1番歯の長持ちに影響する
虫歯治療で一番と言っていいくらい大事なもの、それは治療の時間です。時間は虫歯を削る時間と、つめ物をつめる時間があります。その両方にゆとりを持った時間が必要です。
当院では、「虫歯の大きさ、難易度」を考えて、必要な削る時間、つめ物をつめる時間をじゅうぶんに確保し、丁寧に行います(60~120分)。
一般的な歯科医院は、虫歯治療を保険治療のみで行います。費用は虫歯の大きさ、難易度はほぼ関係なく、1本1,500円程度です。一番大事な治療なのに一番費用が安い虫歯治療は、牛丼チェーン店のようにバタバタと治療されがちで、時間がじゅうぶんに取れません。神経に近いくらい大きな虫歯でも、一般的には30分程度の短い時間で虫歯を削り、つめ物をつめないといけません。(中には15分のところもあると聞きます)。
治療する時間の余裕が無ければ、健康な歯を削りすぎて大きな銀歯になってしまったり、つめ物も段差やすき間ができてしまいます。
一番怖いのは、健康な歯を削りすぎて神経に炎症を起こして、神経を抜くことがあることです。
「痛みが無いのに確認も無く神経を取られて、「虫歯が大きいから神経を取りました」と事後報告された」と当院に相談に来られる患者様もいらっしゃいます。
詳しい状況がわからないのではっきりとは言えませんが、痛みのない虫歯はそのほとんどが神経を取る必要はありません。しかし、上記のように丁寧に治療を行える環境が無かったから、そのような悲惨な結果になってしまったのかもしれません。
当院では、そのようなことが決して起こらないようにしております。
②顕微鏡(マイクロスコープ)の使用
よく見えないのは削りすぎ、虫歯の取り残しのもと
当院の虫歯治療は肉眼では行いません。治療にならず反対に歯を壊す行為になりかねないからです。
必ず最高倍率のルーペ(心臓手術にも用いられるもの)と、顕微鏡(マイクロスコープ)を使用します。
まず、治療の前に検査が必要です。その検査が肉眼で行われるものであれば、それはほぼ見間違えと見落としが起きてしまいます。
虫歯と判別が必要なものは、着色が多く、次に歯周病の細菌の歯石です。また、お口の中は暗く黒く見えることがあり、それを虫歯と見間違えることもあります。見間違えてしまうと、治療の必要が全く無い健康な歯を削ってしまうことになります。患者様に利益の無い治療は絶対にしてはいけません。
また、虫歯は癌などの病気と同じで、小さいうちに見つける方がより神経や歯を守り長持ちさせます。しかし、肉眼や低倍率のルーペではでき始めの極小の虫歯を発見することはほぼ不可能です。見えるまで虫歯が大きくならないと発見されることはありません。
癌と同じで、見つかるのが遅いほど進行しているため、神経や歯を抜く可能性が高くなってしまいます。そのようなことはできる限りないようにしないといけません。
当院の虫歯治療は削り方にこだわります。当院院長が特許庁の商標登録を受けた「ハーミノス虫歯治療法®」で、健康な歯をできる限り削らずに虫歯を削ります。
その際、虫歯の位置を顕微鏡で特定することで、虫歯を削り始める場所、削る深さ、方向、角度などを考えて削ります。削り終わった後も、神経の状態が大丈夫かどうかなども確認する必要があります。そうすることで、最低限の削る量で神経と歯を守り長持ちさせます。肉眼や低倍率のルーペでは非常に困難でできません。
③CTの使用
三次元的に虫歯の位置を把握
顕微鏡と同じく、CTも非常に大切です。
通常のレントゲンでは縦横の2次元だけのものになりますが、縦横、そして奥行きまでわかるものがCTです。
虫歯治療でCTを使用することで虫歯の位置を三次元的に見れるので、治療する前からどのような削り方をすれば最小限の削る量ですむのか、神経を残せそうか、など様々なことが予想できるのです。
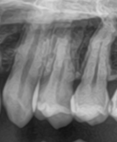
例をあげますと、下の写真は通常の縦横のレントゲンですが、真ん中の歯が虫歯なのですが不鮮明でどのくらいの大きさかよくわかりません。
下の写真はCTですが、CTでみると縦横奥行き虫歯が鮮明に確認できます。一部の所では非常に神経に近い所まで虫歯が大きくなっているのがわかりました。
事前にこのような状況がわかるので、この歯は神経を抜くことなく、無事に1回で治療を終える事が出来ました。
このように2次元のレントゲンだけでは、「小さい虫歯と思って治療を始めてみたら、実は大きかった」ということになるのが多いです。前述の通り一般的な歯科医院の虫歯治療は非常に短い時間で終わらないといけないので、心理的に焦ってしまいます。それが、削りすぎて神経を痛めて抜くことになってしまったり、つめ物がすき間や段差の多いものになってしまったりするのです。
そうなれば近い将来治療のやり直すことになりますし、神経を抜くことになれば、治療に何度も通わないといけません。かぶせ物を自費でするとなれば10万円以上かかることもあります。
当院はこのような無駄な治療と治療費を患者様に負担しないように最大限配慮しております。
④虫歯を染める薬の使用
使わないのは削りすぎのもと
虫歯を削っていると、虫歯と健康な歯の境目がよくわからなくなります。虫歯を取り切ったのか、健康な歯を削っていないか、それを目で見てはっきりわかるように虫歯を染める薬があります。
この薬を使用することで、虫歯の部分だけが染まるので、健康な歯を削らなくて済むのです。
薬で虫歯を染めて、染まった部分を削り、また染めて・・・という作業を繰り返して、健康な歯を削らずに虫歯だけを削っていきます。時間がかかりますが、この地道な作業が、歯と神経を守ることになるのです。
しかし、一般的な歯科医院では、治療時間が短い為、時間がかかるこの薬を使うことは少ないのです。そうなると当然、健康な歯を多く削ってしまうことになります。虫歯の状況によっては、神経を痛めてしまい抜くことになりかねません。
当院では、治療が原因で神経を抜くようなことにならないように、虫歯を染める薬を必ず使用します。
⑤健康な歯を削る量
歯医者によって歯の削り方は違う
昔から、歯型(はがた)を取ってお口の外でつめ物をつくり、それをセメントでつける「インレー」という治療法があります。銀歯やセラミックなどのつめ物になります。
この方法の最大の欠点は、健康な歯をとても多く削ることです。歯型を取るための削り方をしないといけないので、その分健康な歯を削らないといけないのです。
奥歯である程度虫歯が大きければ、この方法でしか治療を行わない歯医者はとても多いです。銀歯であれば見た目が悪いですし、セラミックであれば、当院であれば7万円以上かかってしまいます。しかも多くの健康な歯を削るため、もろくなり歯が割れやすくなり寿命が縮まってしまいます。
当院の場合は、ある程度虫歯が大きくても、独自に考案し特許庁の商標登録を受けた「ハーミノス虫歯治療法」を行います。
この方法は虫歯の特徴に合わせた削り方を行うため、最低限の削る量で虫歯を取り除くことができます。
当院の虫歯治療は、治療中の写真を必ず撮影し、患者様にお見せし説明します。削り方にこだわり、健康な歯を削らずに治療していることを証明するためでもあります。
一般的な歯科医院では治療の時間が短いこともあり、写真を撮影することはほとんどありません。よって、治療する歯医者がどのような歯の削り方をしたのかが患者様にはわかりません。
削り方を考えて慎重に行えばお口の中でつめることができるかもしれないのに、時間がない、もしくは削り方が歯型を取る方法しかできないのであれば、健康な歯を多く削ることになりますし、より高額な治療費になる可能性があります。
当院は削り方にとことんこだわり、無駄に歯を削ることがないようにしております。
⑥歯の神経への影響
治療のやり方1つ1つの積み重ねが大きく影響する
歯の神経への影響については、これまでの内容を理解いただければわかると思います。
治療には時間を多くとって、CTで事前に虫歯を正確に確認し、顕微鏡や高倍率ルーペで歯を見ながら、虫歯を染める薬を使い、健康な歯を削る量を最小限にした治療法で行う当院のやり方。
治療時間が短く余裕が無く、通常のレントゲンで虫歯をおおまかに確認し、肉眼や低倍率のルーペで歯を見ながら、虫歯を染める薬を使わず、歯型を取る治療法で行う一般的なやり方。
どちらのやり方が歯の神経が長持ちするかは明らかと思います。
⑦ラバーダムの使用
乾燥が接着・歯の長持ちを決める
虫歯を削り取った後は、レジンという白いプラスチック樹脂をお口の中で直接つめます。
その際に大切な事は、歯をじゅうぶんに乾燥させることです。歯にだ液や血液などの水分が付いていると、レジンは歯にしっかりと接着しません(接着の度合いは目ではわかりません)。
接着が不十分な所にすき間ができて、そこに虫歯菌が入って虫歯が再発したり歯が割れたりします。神経を抜くなどの治療が必要になり、歯の寿命が縮まります。歯にしっかりレジンを接着させるため、水分を乾燥させることが大切です。
歯の長持ち・神経と歯を抜かないために非常に重要な事ですが、やはり一般的な歯科医院では時間が短いため、ラバーダムを行う時間と手間はありません。乾燥が不十分なままつめ物がされると歯の寿命に直結します。
当院ではレジンとの接着をしっかりとさせるために、ラバーダムというゴムのシートで歯を囲って、唾液が歯につかないように乾燥させます。削ったら終わり、ではありません。しっかりとつめる所まで気を抜くことはできません。
⑧レジンを綺麗につめるための器材
すき間と段差は虫歯の再発のもと
お口の中でレジンをつめる事は難しく、技術はもちろんのこと、適切な器材が必要です。それらが不十分なものであれば、つめ物は段差やすき間ができてしまいます。
一般的な歯科医院では時間が無いため、段差やすき間ができやすい環境です。奥歯は見えないため患者様は綺麗につめられたのかどうかの確認もできません。すき間と段差があれば、近い将来虫歯が再発してしまいます。
すき間と段差を作らず、自然な歯の形をできるだけ再現するために、専用の器材を用意しその歯に適切な物を組み合わせます。そうすることで、虫歯の再発の可能性を少なくすることができます。
⑨費用
当院の治療費は得になりやすい
当院の虫歯治療の費用は奥歯は1本28,000円です。高額に思われますが、日本のみが非常に治療費が安く、海外では通常の金額です。
その安い治療費が、きちんとした虫歯治療にならないため、後に治療を繰り返し神経や歯を抜くことにつながっていることは、これまでの内容を理解された方にはわかると思います。
治療を繰り返し歯を抜くことになり、インプラントをすれば平均で40万円以上かかります。これでは本末転倒です。安い治療費は優先されず質の悪いものになり、後の高額な自費治療は優先され質の高いものを提供する。残念ながら、これが日本の歯科の現状です。
一般の歯科医院での費用は、1,500円から100,000円と大きく開きがあります。今までの内容を理解している方にはわかると思いますが、健康な歯を削る量が多いインレーという方法でセラミックになれば自費で70,000円以上します。また、神経が痛んでしまい、神経を取ることになれば、かぶせ物を行うことになります。自費のセラミックのかぶせ物は100,000円程度します。
治療する歯医者の技量や考え方で、健康な歯を削る量だけでなく、治療費も大きく変わります。どのような歯医者に治療されるかはわからず、運によるところが大きいです。「歯医者はどれも一緒、どこでもよい」という考え方だと、後悔するかもしれません。
そのようなことが不安であれば、当院で治療を受けられることをおすすめします。当院は治療内容や理念を記事やブログ、動画にして、世界中に公開しております。安心して治療を受けられることをお約束いたします。
以上になります。長文ご拝読いただき、ありがとうございました。
みつおデンタルクリニック 院長
精密な検査と治療で歯を守る会 代表 高津光雄
健康な歯をできる限り削らない「ハーミノス虫歯治療法®【特許庁・商標登録】」を考案
合わせて読みたい
●わかれば納得!虫歯治療を自費で行う理由⇨https://kotsudent.com/blog/detail/20250402102102/
●保険の虫歯治療は1本1,500円程度と世界的に見て非常に安く、質の低い治療になりやすいです。そのため歯が長持ちせず結局セラミック(10万円以上)やインプラント(40万円以上)等の高額な自費治療を行うことになるのが日本の歯科の問題点と言われています。
----------------------------------------------------------------------
みつおデンタルクリニック
〒530-0036
住所:大阪府大阪市北区与力町4-15 ダイナスティ与力101
電話番号 :06-6948-6232
拠点の天満で虫歯から守る治療を
----------------------------------------------------------------------


