神経を取ると言われた深い虫歯でも神経を残せることがあります|VPTで神経を残した症例
2026/03/04
「冷たいものがしみる」
「時々ジンジンとした痛みがある」
このような症状がある場合、虫歯が歯の神経に近いところまで進んでいることがあります。
今回みつおデンタルクリニックに来院された患者さんも、
冷たいものがしみる症状と、時々ジンジンとした痛みを感じていました。
近くの歯科医院を受診したところ、
「虫歯が神経の近くまで進んでいるので神経を取る必要がある」
と説明を受けたそうです。
しかし患者さんは
「できるだけ神経を取りたくない」
という希望があり、みつおデンタルクリニックに相談に来られました。
今回は、神経を残す治療(VPT(バイタルパルプセラピー):歯髄保存療法)を行い、神経を残すことができた症例をご紹介します。
歯がしみる・ジンジンする症状の原因
歯がしみる、ジンジンするという症状にはいくつかの原因があります。
例えば
・虫歯
・詰め物や被せ物のすき間
・歯のヒビ
・噛みしめや食いしばり
・歯ぐきが下がることによる知覚過敏
などです。
そのため、症状だけで原因を決めることはできません。
みつおデンタルクリニックでは
・歯の状態の確認
・レントゲン検査
・噛み合わせの確認
・痛みの出方の確認
などを行い、原因を整理してから治療方法を考えます。
今回の症例では検査の結果、
虫歯が歯の神経の近くまで進んでいることが原因と考えられました。
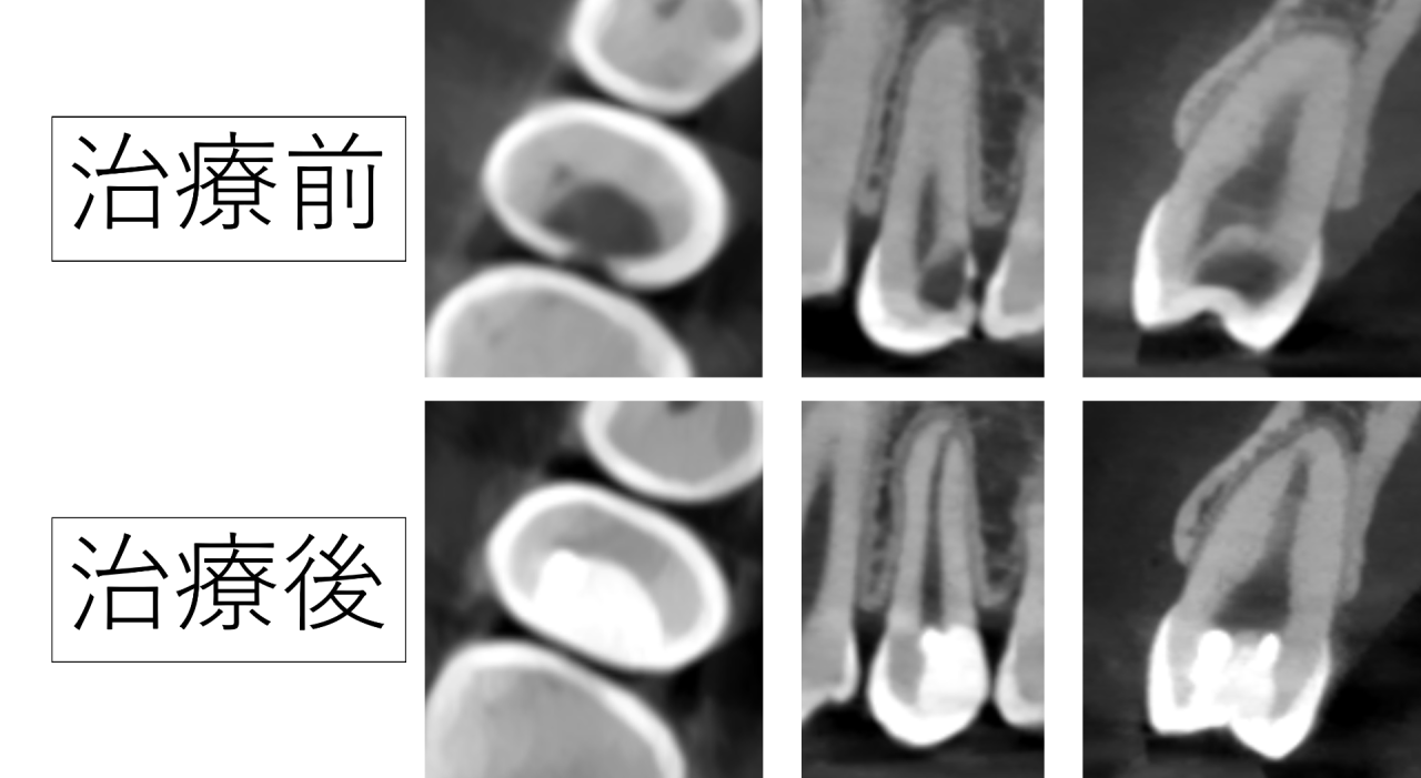
レントゲン(CT)を撮影したところ、虫歯が歯の内部の深い部分まで進んでいて、神経にほとんど接しているところまで大きくなっている様子が確認できます。
実際に治療してみるとレントゲンよりも虫歯は深く進んでいる事があるため、通常の虫歯治療では神経は残せないだろうと予想しました。
深い虫歯では神経を取る治療になることが多い
虫歯が神経の近くまで進んでいる場合、一般的には
神経を取る治療(抜髄)が行われることが多くなります。
神経を取る治療は、歯の内部の神経組織を取り除き、その後に根の中をきれいにして薬を詰める治療です。
この治療により痛みの原因を取り除くことができますが、神経を取った歯にはいくつかのデメリットがあります。
例えば
・歯の内部が空洞に近い状態になる
・歯が割れやすくなることがある
・将来的に再治療が必要になる場合がある
などです。
そのため歯の状態によっては神経を残す治療を検討したほうが良いです。
神経を残す治療「VPT(歯髄保存療法)」
今回行ったのは
VPT(Vital Pulp Therapy)
という治療です。
VPTとは、虫歯を取り除いたあとに
歯の神経をできるだけ残すことを目的とした治療方法
です。
VPTにはいくつかの方法があります。
今回の症例では
部分断髄
という方法を行いました。
部分断髄とは
炎症がある可能性がある神経の一部だけを取り除き、残りの神経を保存する治療
です。
この方法により、神経をすべて取らずに歯を残せる場合があります。
治療の流れ
①虫歯を丁寧に取り除く
まず虫歯になっている部分を取り除きます。
深い虫歯では削り過ぎると歯が弱くなりますが、虫歯を残すと再発の原因になります。
そのため、虫歯の範囲を確認しながら慎重に処置を進めます。
②部分断髄(神経の一部を取り除く)
虫歯を取り除いたあと、神経の先端の部分が露出しました。出血がありましたが、数分で止血したため、神経は大部分を残せると判断しました。
今回は部分断髄を行いました。
炎症がある可能性がある神経の一部だけを取り除き、残りの神経を保存しました。
③MTAセメントで神経を保護
神経を残す場合、細菌が侵入しないようにすることが重要です。
今回の症例では
MTAセメント
という材料を用いて神経を保護しました。
MTAセメントは、歯の神経を保護する処置や根の治療などでも使用される材料です。
この処置によって、残した神経を守る環境を整えます。
治療後の修復(つめ物)
神経を保存したあとには、歯を修復する必要があります。
VPTを行った歯は、できる限り歯が割れないように
クラウン(被せ物)
で補強することが基本とされています。
今回の症例では患者様の希望もあり、
プラスチック樹脂のレジンを直接つめる方法(ダイレクトボンディング)
で修復することにしました。
かぶせ物をしない分、歯が割れやすいというリスクがあるため、みつおデンタルクリニックが商標登録されている「ハーミノス虫歯治療法®」という方法を用いました。
この方法では
・歯を大きく削らず健康な歯を残す
・虫歯の特徴に合わせてできる限り虫歯の部分だけを取り除く
・接着操作を丁寧に行う
ことで、歯をできるだけ割れにくく寿命を延ばすことを考えて修復を行います。
今回の症例では
虫歯の除去
部分断髄
レジン修復
までを
1回の治療で終了しました。
※歯の状態によっては複数回の治療になることもあります。
治療後の経過
治療後、患者さんは
冷たい物でしみる症状
ジンジンする痛み
がなくなったと話されていました。本当に良かったです。
神経を残す治療では経過観察が重要です。今後も定期的に診ていくこととなりました。
深い虫歯でも神経を残せることがあります
虫歯が神経の近くまで進んでいる場合でも
・痛みの状態
・神経の反応
・虫歯の広がり
などを総合的に判断すると
すべての歯で可能というわけではありませんが、神経を残せる可能性があるケースもあります。
神経を残す治療を希望される方へ
みつおデンタルクリニックでは
神経を残す治療(VPT)
根管治療
再根管治療
など、歯の状態に合わせて最適な治療方法を検討しています。
もし
歯がしみる
ジンジンする痛みがある
神経を取ると言われた
できるだけ神経を残したい
という場合は、歯の状態を確認しながら神経を残す方法が可能かどうか精密に検査します。
気になる症状がある方は、早めにご相談ください。
みつおデンタルクリニック 院長
精密な検査と治療で歯を守る会 代表 高津光雄
健康な歯をできる限り削らない「ハーミノス虫歯治療法®【特許庁・商標登録】」を考案
トロント大学 根管治療プログラム 卒業 世界基準の精密根管治療を行い、根管治療の名医として「名医のチョイス」に掲載
大阪・梅田・天満の患者様に選ばれる精密な根管治療と虫歯治療を提供できるよう日々研鑽
【今回の治療について】
年齢:20代 女性
治療回数:1回
治療費: 神経保護治療(VPT) 50,000円(税込)
【神経を保護する治療のメリット】
・歯が長持ちしやすい
・神経を取る場合よりも歯がもろくなりにくい
【神経を保護する治療のデメリット】
・術者の技術によって治療後の予後に差が生じる
・うまく保護できなかった場合は、痛みが出て神経を取る必要がある。
⇩神経を残す治療(VPT)をQ&Aで説明⇩
----------------------------------------------------------------------
みつおデンタルクリニック
〒530-0036
住所:大阪府大阪市北区与力町4-15 ダイナスティ与力101
電話番号 :06-6948-6232
拠点の天満で虫歯から守る治療を
----------------------------------------------------------------------


