【画像で説明】根管治療の流れをわかりやすく解説します
2025/08/06
こんにちは。大阪市北区天満にあるみつおデンタルクリニック 院長の高津光雄です。
今回は、一般的に「歯の神経を抜く」「根っこの治療」と言われる「根管治療(こんかんちりょう)」の流れについてご紹介します。
歯の内部にある神経にまで細菌が入り込んでしまうと、強い痛みや腫れが起こることがあります。
そのようなときに必要となるのが、歯の中をきれいにする「根管治療」です。
この治療を受けることになったけれど、どんなことをするのか分からず不安…。
そんな方に向けて、できるだけわかりやすく、丁寧に流れをご説明します。
目次
根管治療とは?
歯の中には「歯髄(しずい)」と呼ばれる神経や血管があります。
むし歯が進行すると、この神経の部分にまで細菌が入り込み、炎症を起こします。
これにより、ズキズキとした痛みが出たり、根の先に膿がたまったりすることがあります。
このような状態になった歯をそのまま放置すると、症状は悪化し、最終的には抜歯が必要になる可能性も。
そこで行われるのが「根管治療」です。
歯の根の中にある感染した組織や細菌を取り除き、内部を消毒して薬剤で密閉することで、歯を長持ちさせるための治療です。
根管治療の流れのまとめ
根管治療の流れは、①診察と検査 ②虫歯部分の除去と神経の処置 ③根の中の洗浄と消毒 ④薬剤で内部を密閉 ⑤かぶせ物の準備 になります。
以下に、その詳細を説明していきます。
治療の流れ①診察と検査
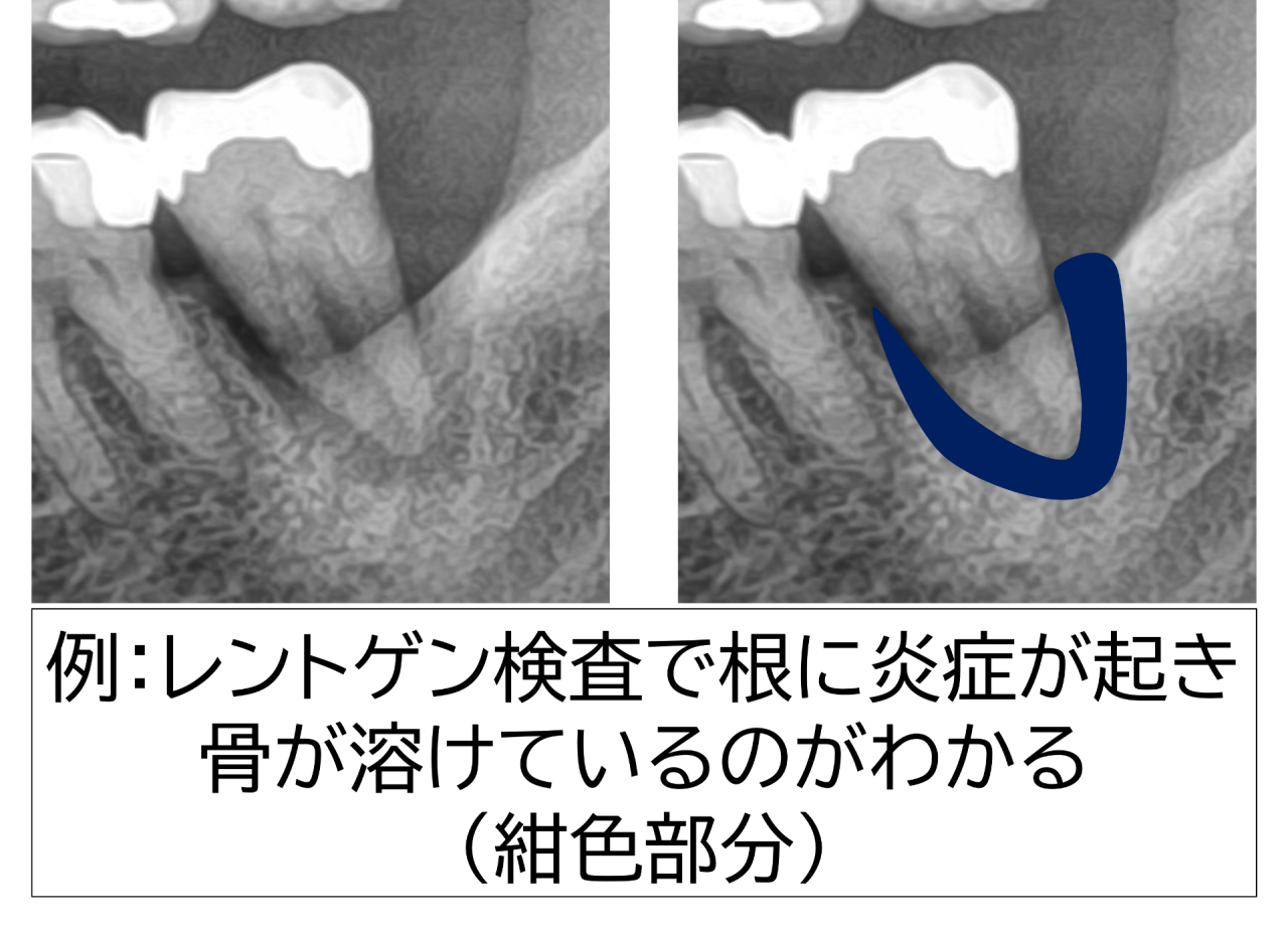
まずは、痛みや違和感が出ている歯の状態を確認します。 必要に応じてレントゲンを撮影し、根の中や周囲の骨の状態までしっかり調べます。 これにより、根の先で炎症が起きていないか、以前の治療の跡がどうなっているかも把握できます。
治療の流れ②虫歯部分の除去と神経の処置
むし歯に侵された部分を丁寧に削り取り、中の神経や感染した組織を除去します。
この段階で、歯の内部(根管)に細菌が残らないように、拡大鏡やマイクロスコープを使って精密に処置を行います。
※当院では、再治療にも対応できるよう、細かな部分まで確認できる器具を活用しています。
治療の流れ③根の中の洗浄と消毒
細菌や感染物質を徹底的に取り除くため、専用の器具で内部を削りながらきれいにしていきます。
さらに、薬液を使って消毒し、清潔な状態を保ちます。
この工程は1回では終わらないことが多く、数回に分けて丁寧に行います。
治療の流れ④薬剤で内部を密閉
根の中がきれいになったことを確認したら、薬剤を詰めて密閉します。
すき間なく封じることで、再び細菌が入り込まないようにします。
治療の流れ⑤かぶせ物の準備
根管治療が終わった歯は、そのままでは割れやすくなっています。
そこで、内部に土台を立てたうえで、全体をかぶせ物で補強します。
かぶせ物の種類は保険適用のものもありますし、見た目や耐久性を重視した自費の素材も選べます。
通院回数の目安
根管治療は1回の来院では終わりません。
一般的には、症状が軽度であれば2回程度、根の先に膿がたまっているような場合は3回以上かかることもあります。
また、過去に治療を受けた歯の再治療となると、さらに時間がかかる場合もあります。
その理由は、根の中の構造が複雑で、感染部分をすべて取り除くためには、回数を分けて慎重に処置を進める必要があるからです。
治療中・治療後の注意点
治療の途中や治療後は、次のような点にご注意ください。
治療中の歯では、できるだけ硬い食べ物を避けてください
お薬が出た場合は、決められた通りに飲み切るようにしてください
治療途中で来院を中断しないことが大切です
途中で治療をやめてしまうと、内部に残っていた細菌が再び増え、炎症が再発することがあります。
その結果、抜歯が必要になる可能性もあります。
まとめ:根の中を整えることで歯を守る
根管治療は、歯を長く使い続けるための土台を作るような治療です。
痛みが取れたからといって、治療を途中でやめてしまうと、根の中で問題が再発することもあります。
みつおデンタルクリニックでは、治療の内容をご説明しながら、なるべく不安を感じずに通っていただけるよう努めています。
目には見えない部分の治療こそ、丁寧に行うことが大切です。
こんな症状ありませんか?
・以前に治療した歯がまたうずく
・噛むと響くような違和感がある
・歯ぐきが腫れたり、白く膨らんできた部分がある
このような症状は、根の中で炎症が起きているサインかもしれません。
気になることがあれば、早めの診察をおすすめします。
大阪市で精密な根管治療をご検討中の方へ
みつおデンタルクリニックでは、一人ひとりのお口の状態に合わせた治療を心がけています。
無理のないペースで、しっかりと説明しながら進めますので、安心してご相談ください。
みつおデンタルクリニック 院長
精密な検査と治療で歯を守る会 代表 高津光雄
健康な歯をできる限り削らない「ハーミノス虫歯治療法®【特許庁・商標登録】」を考案
オンライン相談等、SNSで医院の情報を配信中
根管治療の名医として、名医のチョイスに掲載されました
----------------------------------------------------------------------
みつおデンタルクリニック
〒530-0036
住所:大阪府大阪市北区与力町4-15 ダイナスティ与力101
電話番号 :06-6948-6232
高技術な根管治療を天満で実施
----------------------------------------------------------------------


