【症例】神経を抜く治療を失敗。大きく骨が溶けた奥歯の再根管治療
2025/08/10
根管治療は、歯の根の中(根管)をきれいにして密封し、細菌の増殖を抑える処置です。根管内に感染源が残ると、根の先の骨が少しずつ溶け、腫れや痛み、膿が出るなどの症状が続くことがあります。今回は「神経の取り残し」が原因となり、奥歯の周囲で骨吸収が大きく進んだケースをご紹介します。
目次
来院のきっかけ
数年前に他院で根管治療を受け、かぶせ物を装着していた患者さん。最近になって「噛むと痛い」「歯ぐきが腫れて膿が出る」といった症状が出現し、インターネットで調べて当院を受診されました。「このまま歯を残せるのか心配」との訴えがありました。近くの歯医者さんでは「骨が大きく溶けているから治療しても治らない。抜いた方が良い」と言われたそうです。
初診時の検査と診断
レントゲン(CT)撮影で詳細に確認しました。根の先に大きな病気とみられる透過像(黒い影)が認められ、骨が広い範囲で溶けてしまっている状態でした。診断は「慢性根尖性歯周炎」。
原因は神経の取り残しと考えられました。取り残された神経が死んで腐敗し、細菌が増殖して根の病気を作ったのです。
神経の取り残しが起こりやすい原因
奥歯の根管は細く曲がり、枝分かれが多いのが特徴です。
・複雑な形態:分岐やカーブの先に細い通路が隠れていることがある
・視認性の限界:肉眼だけでは奥まで確認しにくい
・器具到達の難しさ:細い根管では器具が届きにくい部分が生じやすい
これらが重なると、神経の取り残しが起きて細菌が増え、時間をかけて骨を溶かしていきます。
再根管治療の流れ
再根管治療で感染源である取り残された神経の徹底除去を図る方針としました。処置前に、治療回数や通院間隔、想定される経過、外科処置へ移行する可能性などを説明し、ご理解を得て開始しました。
(再根管治療の流れ(簡略))
・前処置
局所麻酔後、かぶせ物や古い土台・充填材を丁寧に外しました。
・拡大視野での探索
口腔内をラバーダムで乾燥・隔離し、マイクロスコープ(顕微鏡)拡大視野下で根管の入口と分岐部を観察。取り残しの神経の部位を確認しました。
・取り残された神経の除去
細径の器具(ニッケルチタンファイル)や超音波器具を併用し、残った神経や感染物を取り除きました。器具が届きにくい枝管は、少しずつ通路を広げながら慎重に処置しています。
・洗浄と消毒
根管内を薬液で超音波洗浄し、感染源を物理的・化学的に減らしていきます。薬液の交換と作用時間を確保し、汚れが再付着しないよう配慮しました。
・薬剤の貼薬・仮封
次回の治療までに根の消毒のため、消毒用薬剤(水酸化カルシウム製剤)を入れて密閉しました。
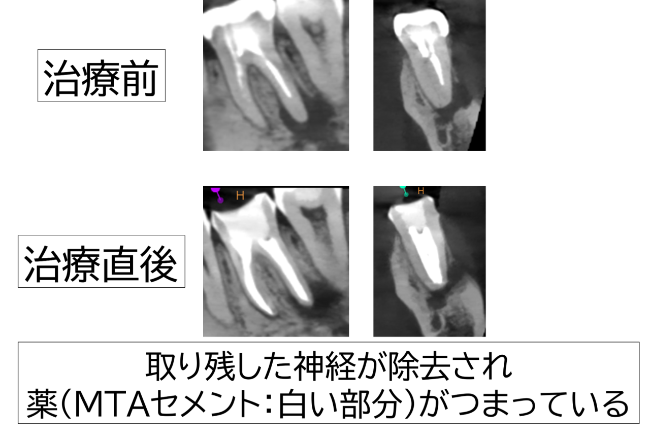
・根管充填
2回目の治療で症状の軽減と排膿の停止、根管内の乾燥が得られたため、すき間ができないように根管を立体的に封鎖しました(MTAセメントを使用)
・最終的な修復
破折や再感染を防ぐため、土台を立ててセラミッククラウンを装着。咬み合わせを調整し、清掃しやすい形態に仕上げました。
治療後の経過
溶けた骨が再生した
治療から半年後のレントゲンでは、根の先の黒い影が縮小し、骨の回復・再生傾向が確認できました。自発痛や噛んだときの痛みは消失し、歯ぐきの腫れも落ち着いています。経過観察を続けながら、定期的なクリーニングと噛み合わせチェックを実施中です。
患者様は抜かずに済んだことで非常に喜ばれました。本当に良かったです。
※骨の回復スピードや程度には個人差があり、画像上の改善には時間を要することがあります。
まとめ
神経の取り残しは、時間をかけて神経が死んで腐敗し、細菌の増殖により炎症を起こし、根の先の骨を広い範囲で溶かす(失わせる)ことがあります。
今回の患者さんは、再根管治療で感染源を取り除き、骨の回復傾向が確認できました。奥歯の違和感、噛んだときの痛み、歯ぐきからの膿といったサインがある場合は、放置せず早めの検査をおすすめします。根の病気は時間とともに大きく悪化し、再根管治療を行っても治る可能性が低くなっていきます。
原因の特定と丁寧な処置を早期に行うことで、歯を長く使える可能性が高まります。気になる症状があれば、みつおデンタルクリニックご相談ください。
以上になります。ご拝読いただきありがとうございました。
みつおデンタルクリニック 院長
精密な検査と治療で歯を守る会 代表 高津光雄
健康な歯をできる限り削らない「ハーミノス虫歯治療法®【特許庁・商標登録】」を考案
オンライン相談等、SNSで医院の情報を配信中
根管治療の名医として、名医のチョイスに紹介されました
【今回の治療について】
年齢:20代 女性
治療期間:2週間(経過観察期間を除く)
治療回数:2回
治療費: 精密根管治療費 100,000円(税込)
【精密根管治療のメリット】
・歯を抜かずに残せる可能性が高くなる。
・歯が長持ちしやすくなる。
【精密根管治療のリスク・デメリット】
・外科処置が必要となる場合がある。
・骨が再生するには時間がかかる。
・治療途中に歯が割れたり、保存が不可能と判断した場合は抜歯になることもある。
----------------------------------------------------------------------
みつおデンタルクリニック
〒530-0036
住所:大阪府大阪市北区与力町4-15 ダイナスティ与力101
電話番号 :06-6948-6232
高技術な根管治療を天満で実施
----------------------------------------------------------------------


