【患者に治療の質はわからない】「神経を取った」と言われた歯に【巨大な病巣】。神経の取り残しでした
2026/04/29
目次
昔神経を取った歯がなぜか痛い
「5年前に神経を取った歯が痛い」
このような主訴で、みつおデンタルクリニックに来院された患者さんの症例です。
患者さんは過去に他院で「神経を取った」と説明を受けていました。そのため、ご本人としては「歯の中の神経はすべて取ってもらっている」と思われていました。
歯科医院で「神経を取りました」と言われれば、多くの方は、歯の中の神経が全部取り除かれたと考えます。さらに、治療後に痛みがなくなれば、「治った」「もう大丈夫」と感じるのは自然なことです。
しかし、根管治療の難しいところは、痛みがなくなったことと、歯の中がきちんと処置されていることが、必ずしも同じではないという点です。
今回の症例では、詳しく調べてみると、神経がまるまる1つ取り残されていました。取り残された場合、存在する細菌の数は5億以上ともいわれます。そして、その部分を中心に感染が進み、根の先には大きな根尖病巣ができていました。
神経を取り残していても、すぐに痛みが出るとは限りません
「神経が残っていたら、すぐに痛くなるのでは?」と思われる方も多いかもしれません。
しかし、実際にはそうとは限りません。
強い痛みを出していた部分だけが処置されることで、症状が落ち着くことがほとんどです。患者さんからすると、痛みがなくなれば「神経を全部取ってもらえた」と思います。
しかし、歯の中に神経や感染源が残っていると、時間をかけて細菌が増え、根の先の骨に炎症が広がることがあります。
その結果、数年後に大きな根尖病巣として見つかることがあります。
今回の患者さんも、5年という時間が経ってから痛みが出て、根の病気が発覚しました。
根管治療の質は、患者さんにはわからない
根管治療は、患者さんにとって非常にわかりにくい治療です。
根の中で何が行われているのか、どこまで神経が取れているのか、感染した部分がどれくらい除去されているのかは、患者さんが直接見ることはできません。
そのため、患者さんは「痛みや腫れがなくなったかどうか」で判断しがちです。
しかし、根管治療で大切なのは、痛みを取ることだけではありません。
根の中の感染源をどれだけ減らせているか、見落とした根管がないか、治療後に細菌が再び入りにくい状態になっているかが重要です。
歯の根の中は、まっすぐな一本の管ではありません。円ではなく楕円形で細く曲がっていたり、枝分かれしていたり、見えにくい位置に別の根管が隠れていることがあります。
だからこそ、根管治療は歯科医師の診断力、知識、技術、そして治療にかける時間によって差が出やすい治療だと考えています。
安く済んだ治療が、将来大きな負担につながることもあります
日本の保険診療は、患者さんが少ない負担で治療を受けられる大切な制度です。
一方で、根管治療に関しては、治療費が低く設定されているため、十分な時間をかけにくいという現実があります。
もちろん、保険治療だからすべてが悪いという意味ではありません。保険診療の中でも丁寧に治療されている先生はおられます。
ただ、根管治療は本来とても手間のかかる治療です。細い根管を探し、感染した部分を取り除き、何度も洗浄し、根の先まで確認しながら処置を進める必要があります。
今回のように、神経が大きく取り残されていても、すぐに大きな症状が出ないことがあります。しかし、数年後に根の先に病気ができ、最終的に抜歯を提案されることもあります。
もし抜歯になり、その後インプラント治療を行う場合、治療内容や医院によって差はありますが、50万円前後の費用がかかることもあります。
最初は安く済んだように見えた治療が、時間が経ってから大きな治療費や抜歯につながることがあります。
みつおデンタルクリニックで行った精密根管治療
治療では、マイクロスコープを使用し、歯の中を拡大して確認しながら進めました。
取り残されていた神経を発見し、除去しました。また神経どうしの間に溝(イスムス)が存在しました。そこにも細菌が存在するため、内部の感染源を取り除き、根管内を洗浄し綺麗になりました。
根管治療では、歯の中を完全に無菌にすることは現実的には難しいとされています。大切なのは、細菌の量をできるだけ減らし、再び細菌が入りにくい状態を作ることです。
治療後、患者さんの痛みは落ち着いたので、MTAセメントをつめて根の治療を完了しました。
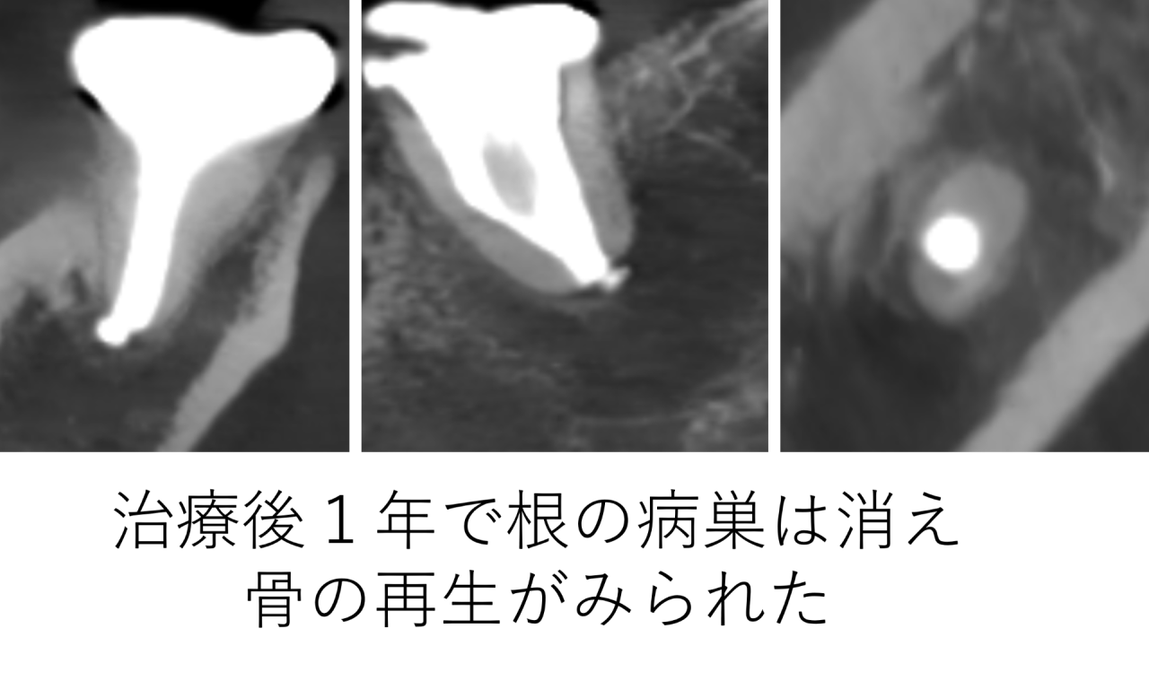
1年後、大きな根尖病巣は消え骨の再生が確認できました
そして1年後にCTで確認したところ、治療前に大きく黒く写っていた根の先の病巣は改善し、骨の再生が確認できました。
今回の症例は、5年前に「神経を取った」と言われた歯に、実際には神経の取り残しがあり、時間をかけて大きな根尖病巣ができていたケースでした。
しかし、精密な根管治療を行うことで、1年後には病巣の改善と骨の再生が確認できました。
神経を取った歯が痛い。
過去に根管治療をした歯に違和感がある。
抜歯やインプラントをすすめられた。
そのような場合でも、歯を残せる可能性がないかを確認することが大切です。
抜歯を決める前に、まずはその歯の状態を正確に診断すること。
それが、患者さんの歯を守るための大切な第一歩だと考えています。
みつおデンタルクリニック 院長
精密な検査と治療で歯を守る会 代表 高津光雄
健康な歯をできる限り削らない「ハーミノス虫歯治療法®【特許庁・商標登録】」を考案
トロント大学 根管治療プログラム 卒業 世界基準の精密根管治療を行い、根管治療の名医として「名医のチョイス」に掲載
大阪・梅田・天満の患者様に選ばれる精密な根管治療と虫歯治療を提供できるよう日々研鑽
【今回の治療について】
年齢:50代 女性
治療期間:2週間(経過観察期間を含まない)
治療回数:2回
治療費: 精密根管治療費 120,000円(税込)
【精密根管治療のメリット】
・歯を抜かずに残せる可能性が高くなる。
・歯が長持ちしやすくなる。
【精密根管治療のリスク・デメリット】
・外科処置が必要となる場合がある。
・骨が再生するには時間がかかる。
・治療途中に歯が割れたり、保存が不可能と判断した場合は抜歯になることもある。
│トロント大学 根管治療プログラム 卒業│
----------------------------------------------------------------------
みつおデンタルクリニック
〒530-0036
住所:大阪府大阪市北区与力町4-15 ダイナスティ与力101
電話番号 :06-6948-6232
高技術な根管治療を天満で実施
----------------------------------------------------------------------

